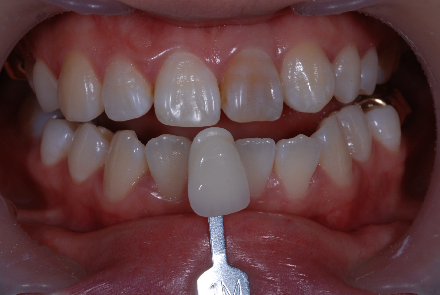
At InterPro Lab, we specialize in crown and bridge restorations - the gold standard in all-ceramic dental solutions. Our master technicians craft exceptional e.max ,Zirconia,PFM,Full Gold crown, veneers, and inlays that deliver unmatched strength, translucency, and natural aesthetics. Each restoration is precisely engineered to provide superior durability while maintaining the beautiful, lifelike appearance your patients deserve.








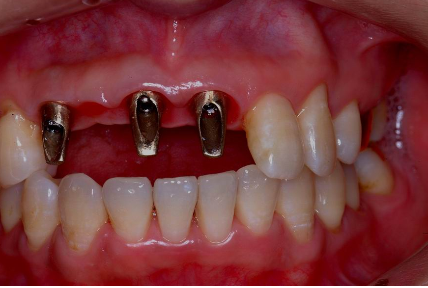
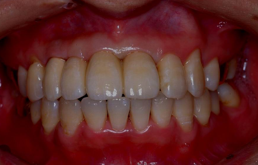
InterPro Lab excels in creating precision implant bridges that restore function and aesthetics with uncompromising quality. Our expert technicians design and fabricate custom implant-supported bridges using premium materials and advanced digital workflows. Each bridge is meticulously crafted to ensure perfect fit, optimal occlusion, and natural appearance that seamlessly integrates with your patient's existing dentition.
From single-unit implant crowns to full-arch implant bridge restorations, we deliver solutions that provide long-lasting stability and patient confidence. Our state-of-the-art CAD/CAM technology and precise manufacturing processes ensure every implant bridge meets the highest standards of accuracy and durability. Trust InterPro Lab for exceptional implant bridge solutions that exceed clinical expectations.